BREAKING NEWS

Senin, 22 Februari 2021

Congo Red Amyloid Histology / Occult Transthyretin Cardiac Amyloid In Severe Calcific Aortic Stenosis Circulation Cardiovascular Imaging - Histology congo red amyloid stain badge reel with a colored glass bead!

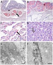
Congo Red Amyloid Histology / Occult Transthyretin Cardiac Amyloid In Severe Calcific Aortic Stenosis Circulation Cardiovascular Imaging - Histology congo red amyloid stain badge reel with a colored glass bead!. Congo red is still the standard stain used in most histopathology laboratories to identify amyloid material in tissues. The identification of congophilic amyloid material is challenging because of multiple interfering factors. Role of electron microscopy and congo red stained cell block sections.. • congo red congo red histology stain is used to stain amyloid. Amyloid in vessel wall apple green with polarized light.

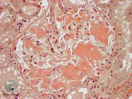
Cytokeratin is positive in lichen amyloidosis and. (congo red x 100) discussion lichen amyloidosis is the most common variant of primary cutaneous amyloidosis (pca) and is associated with the extracellular deposition of amyloid in the skin without associated internal organ involvement. Congo red stain 1%, aqueous and microwave at 70°c for 3 minutes. Note the deposits on the saa stain correspond to the location of the congophilic deposits, including subtle tubulointerstitial deposits which will be difficult to find on an h&e stain (arrows). Place slides in a plastic coplin jar containing solution a:

File Gastric Amyloidosis Congo Red Stain 3595031675 Jpg Wikimedia Commons
File Gastric Amyloidosis Congo Red Stain 3595031675 Jpg Wikimedia Commons from upload.wikimedia.org
Congo red histological staining is the gold standard technique for the detection of amyloidosis. Staining with congo red (cr) is a qualitative method used for the identification of amyloids in vitro and in tissue sections. Cytokeratin (ck) staining can be used to identify the amyloid as epidermal in origin. Congo red histological staining technique is the gold standard technique for the diagnosis of amyloidosis. Place slides in solution a: At what um should these sections be cut at? • congo red congo red histology stain is used to stain amyloid. The diagnosis of amyloid requires an experienced laboratory, as false negative and false positive diagnoses on the basis of histology are not infrequent.

Perfect for work, school, or convention badges.

The history of congo red december 9, 2019 congo red is the essential histologic stain for demonstrating the presence of amyloidosis in fixed tissues. Congo red method the main special stain used for amyloid detection is congo red. • cresyl violet this histology stain is a nissl stain. Amyloid in vessel wall apple green with polarized light. In contrast to amyloidosis, colloid milium is negative for laminin and type iv collagen. Histology congo red amyloid stain badge reel with a colored glass bead! When stained with the congo red stain the amyloid, with the aide of polarizing lenses, will birefringe an apple green color. It stains cell bodies a blue/violet. It is a dye belongs to a group of azo dyes derived from benzidine and it does not require the application of mordant. Congo red, the same image is seen before but with a light microscope Send block containing tissue biopsy (fixed in 10% formalin and paraffin embedded) (congo red x 100) discussion lichen amyloidosis is the most common variant of primary cutaneous amyloidosis (pca) and is associated with the extracellular deposition of amyloid in the skin without associated internal organ involvement. Special studies for colloid milium.

Staining is positive for pas. Histology special stains submission details: The reason for this is that the congo red dye used in the stain is highly selective for amyloid deposits, which can lead to amyloidosis and also alzheimers. Congo red is still the standard stain used in most histopathology laboratories to identify amyloid material in tissues. Cresyl violet will stain both neurons and glia.

Hemodialysis Associated Soft Tissue Amyloidomas Of The Chest And Abdominal Wall Nasir 2020 Hemodialysis International Wiley Online Library
Hemodialysis Associated Soft Tissue Amyloidomas Of The Chest And Abdominal Wall Nasir 2020 Hemodialysis International Wiley Online Library from onlinelibrary.wiley.com
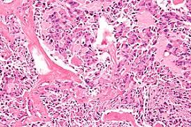
Results by amyloid p ihc and congo red are similar (p = 1.00). Place slides in a plastic coplin jar containing solution a: Cytokeratin is positive in lichen amyloidosis and. However, in the histology world cr is used to stain amyloid. Congo red stain 1%, aqueous and microwave at 70°c for 3 minutes. Staining is positive for pas. It stains cell bodies a blue/violet. Congo red stain (left) and serum amyloid a immunohistochemistry (right), 100x.

The one discordant case was amyloid p positive, congo red negative, and positive by thioflavin t and electron microscopy.

At what um should these sections be cut at? Congo red histological staining is the gold standard technique for the detection of amyloidosis. Cytokeratin (ck) staining can be used to identify the amyloid as epidermal in origin. Amyloid p has a sensitivity of 100% and specificity of 95%. Perfect for work, school, or convention badges. Colored glass bead may vary based on what i have on hand, but ill try to match the frame color or overall color scheme! Amyloid is homogeneous and eosinophilic, the deposits are extracellular and may become sufficiently large enough to cause damage to surrounding tissues. Name another stain that stains the same 4. (congo red x 100) discussion lichen amyloidosis is the most common variant of primary cutaneous amyloidosis (pca) and is associated with the extracellular deposition of amyloid in the skin without associated internal organ involvement. Place slides in a plastic coplin jar containing solution a: The diagnosis of amyloid requires an experienced laboratory, as false negative and false positive diagnoses on the basis of histology are not infrequent. • cresyl violet this histology stain is a nissl stain. Congo red dye binds to fibrils and form a regular pattern of dye molecules during the process.

Since the 1920s, congo red dye was shown to specifically stain amyloid deposits in tissue and has been considered the pathologic gold standard for amyloid disease. Congo red was positive in 25/45 (56%) and was negative in 20/45 (44%). Cytokeratin (ck) staining can be used to identify the amyloid as epidermal in origin. The reason for this is that the congo red dye used in the stain is highly selective for amyloid deposits, which can lead to amyloidosis and also alzheimers. Congo red is still the standard stain used in most histopathology laboratories to identify amyloid material in tissues.

Congo Red Stain Recipe
Congo Red Stain Recipe from www.researchgate.net
Name the staining technique 2. Congo red and crystal violet may also be positive. The history of congo red december 9, 2019 congo red is the essential histologic stain for demonstrating the presence of amyloidosis in fixed tissues. Congo red stain 1%, aqueous for 1 hour. Congo red, the same image is seen before but with a light microscope Differentiation may be difficult and made only by special stains. Amyloid p has a sensitivity of 100% and specificity of 95%. Detection of amyloid in abdominal fat pad aspirates in early amyloidosis:

Name the staining technique 2.

Congo red stain (left) and serum amyloid a immunohistochemistry (right), 100x. Congo red stain is the gold standard for the demonstration of amyloid in tissue sections it is used to evaluate the presence and extent of amyloidosis in different organs common diseases for congo red stain include primary amyloidosis, al amyloid seen in plasma cell dyscrasias, aa amyloid associated with inflammatory conditions It is a dye belongs to a group of azo dyes derived from benzidine and it does not require the application of mordant. Congo red histological staining is the gold standard technique for the detection of amyloidosis. However, in the histology world cr is used to stain amyloid. (congo red x 100) discussion lichen amyloidosis is the most common variant of primary cutaneous amyloidosis (pca) and is associated with the extracellular deposition of amyloid in the skin without associated internal organ involvement. At what um should these sections be cut at? Cytokeratin is positive in lichen amyloidosis and. Histology special stains submission details: Name another stain that stains the same 4. • cresyl violet this histology stain is a nissl stain. Congo red, the same image is seen before but with a light microscope Congo red is a synthetic dye, used for the differential staining of elastic fibers.

Detection of amyloid in abdominal fat pad aspirates in early amyloidosis: congo red amyloid. Cytokeratin (ck) staining can be used to identify the amyloid as epidermal in origin.

Posting Komentar

 
Copyright © 2014 LeifNisonger

Powered by JoJoThemes