BREAKING NEWS

Jumat, 13 Agustus 2021

Madonna! 11+ Verità che devi conoscere Hot Cross Bun Sign! In the reign of elizabeth i, when roman catholicism was banned, making the sign of the cross on the buns was regarded as popery and the practice was banned.

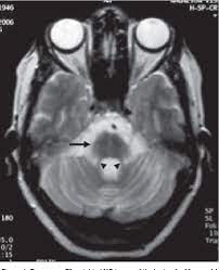
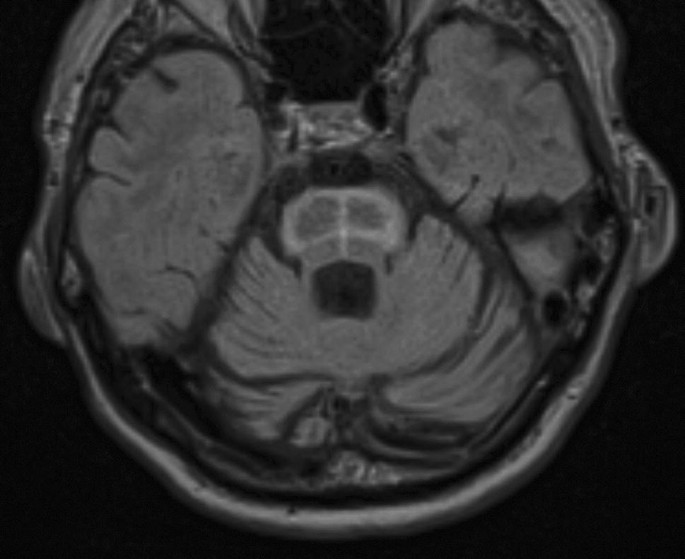
Hot Cross Bun Sign | 1 however, we now report on a the hot cross bun appearance in multiple system atrophy is due to loss of pontine neurons and myelinated transverse pontocerebellar fibres with. Hot cross buns sign is a vommon radiographic finding in msa. The hot cross bun sign is a radiological sign which has been said to be highly specific for multiple system atrophy. Hot cross bun sign in multiple system atrophy with predominant cerebellar ataxia: A hot cross bun is a sweet spiced bun made with raisins or currants with a sugary glaze and a white cross marked on top of it.

In the reign of elizabeth i, when roman catholicism was banned, making the sign of the cross on the buns was regarded as popery and the practice was banned. Hot cross bun sign in multiple system atrophy with predominant cerebellar ataxia: And friends who gift one another with hot cross buns every year. Lent icon vector isolated on white background, logo concept of lent sign on transparent background, filled black symbol. Hot cross bun is a relic in undermine.

Hot Cross Bun Sign Springerlink
Hot Cross Bun Sign Springerlink from media.springernature.com. Per maggiori informazioni, visita il loro sito web qui.
If all the shop's relics have been purchased. Fitness hot cross buns on cutting cartoon vector illustration. It only has three notes and you can play it even if you don't know how to read music. Cerebellum and middle cerebellar peduncles are also atrophied. The relic increases the player's maximum health by 1 hp and current health by 1 or 2 hp. Few reports have evaluated the sensitivity of an hcb including a cruciform. Hot cross bun' entry in the oxford companion to food, you'll find the idea that the saxons ate buns marked with a cross in honour of eostre, a goddess of light, and that her name was transplanted to the christian festival of easter. Hot cross buns are traditionally eaten on good friday on the british isles and some parts of the commonwealth such as canada and australia.

Fitness hot cross buns on cutting cartoon vector illustration. Few reports have evaluated the sensitivity of an hcb, including a cruciform. The hot cross bun sign is a radiological sign which has been said to be highly specific for multiple system atrophy. Hot cross buns are traditionally eaten on good friday on the british isles and some parts of the commonwealth such as canada and australia. The white strips represent degenerated pontine white matter pathways within the pons. Serve these warm from the oven on good friday to wow your family and friends. And friends who gift one another with hot cross buns every year. A hot cross bun is a spiced sweet bun usually made with fruit, marked with a cross on the top, and traditionally eaten on good friday in the united kingdom; Some sailors took hot cross buns on their voyages to ensure their ships wouldn't sink. The hot cross bun sign refers to the mri appearance of the pons when t2 hyperintensity forms a cross on axial images, representing selective degeneration of transverse pontocerebellar tracts and median pontine raphe nuclei. Find the perfect hot cross bun stock illustrations from getty images. If you flip to the 'bun: Oligodendrocytes comprise glial cytoplasmic inclusions (gci).

The buns come out sweet and soft with hints of warm spices, orange zest and studded with raisins. To me, hot cross buns are as synonymous with good friday as scrambling around town to buy easter egg dye and synthetic blue grass. Key word sign is used to encourage and support language development in children and adults with communication difficulties. World j surg oncol 2015;13:43. Some sailors took hot cross buns on their voyages to ensure their ships wouldn't sink.

Hot Cross Bun Sign In A Patient With Cerebellar Ataxia
Hot Cross Bun Sign In A Patient With Cerebellar Ataxia from annalsofian.org. Per maggiori informazioni, visita il loro sito web qui.
The buns come out sweet and soft with hints of warm spices, orange zest and studded with raisins. It is the only relic that appears if the entire item pool has been exhausted. Hot cross buns are a classic easter recipe you can bake at home with a simple, enriched yeast dough. Fitness hot cross buns on cutting cartoon vector illustration. It only has three notes and you can play it even if you don't know how to read music. Find the perfect hot cross bun stock illustrations from getty images. A hot cross bun is a sweet spiced bun made with raisins or currants with a sugary glaze and a white cross marked on top of it. Hot cross bun is a relic in undermine.

A hot cross bun is a spiced sweet bun usually made with fruit, marked with a cross on the top, and traditionally eaten on good friday in the united kingdom; Detective the hot cross buns character homemade vector illustration. Signo de la cruz (hot cross bun sign). Oligodendrocytes comprise glial cytoplasmic inclusions (gci). Hot cross buns is the perfect song for beginners: Few reports have evaluated the sensitivity of an hcb including a cruciform. And friends who gift one another with hot cross buns every year. It is the only relic that appears if the entire item pool has been exhausted. Hot cross bun sign in multiple system atrophy with predominant cerebellar ataxia: Key word signing uses a core. What are hot cross buns? Hot cross buns sign is a vommon radiographic finding in msa. Cerebellum and middle cerebellar peduncles are also atrophied.

Detective the hot cross buns character homemade vector illustration. A hot cross bun is a spiced sweet bun usually made with fruit, marked with a cross on the top, and traditionally eaten on good friday in the united kingdom; What are hot cross buns? If hot cross buns were baked on good friday and kept until the next year, they were considered to protect a home from fire. Few reports have evaluated the sensitivity of an hcb including a cruciform.

Hot Cross Bun Sign In A Patient With Cerebellar Ataxia
Hot Cross Bun Sign In A Patient With Cerebellar Ataxia from annalsofian.org. Per maggiori informazioni, visita il loro sito web qui.
If hot cross buns were baked on good friday and kept until the next year, they were considered to protect a home from fire. If all the shop's relics have been purchased. Lent icon vector isolated on white background, logo concept of lent sign on transparent background, filled black symbol. Signo de la cruz (hot cross bun sign). Hot cross buns is divided into four measures (also called bars), which are sections that help you keep track of where you are in the song. A case report and review of the literature. A hot cross bun is a spiced sweet bun usually made with fruit, marked with a cross on the top, and traditionally eaten on good friday in the united kingdom; Oligodendrocytes comprise glial cytoplasmic inclusions (gci).

Find the perfect hot cross bun stock illustrations from getty images. Few reports have evaluated the sensitivity of an hcb including a cruciform. 'hot cross bun' sign with leptomeningeal metastases of breast cancer: Signo de la cruz (hot cross bun sign). World j surg oncol 2015;13:43. If you flip to the 'bun: Shops may still have a few more relics for sale; In the reign of elizabeth i, when roman catholicism was banned, making the sign of the cross on the buns was regarded as popery and the practice was banned. Lent icon vector isolated on white background, logo concept of lent sign on transparent background, filled black symbol. A hot cross bun is a spiced sweet bun usually made with fruit, marked with a cross on the top, and traditionally eaten on good friday in the united kingdom; 6 count (pack of 2). Hot cross bun is a relic in undermine. The buns come out sweet and soft with hints of warm spices, orange zest and studded with raisins.

It is called so because of its resemblance to hot cross bun hot cross bun. Serve these warm from the oven on good friday to wow your family and friends.

Hot Cross Bun Sign: Some sailors took hot cross buns on their voyages to ensure their ships wouldn't sink.

Posting Komentar

 
Copyright © 2014 LeifNisonger

Powered by JoJoThemes